Composite Bonding Manchester Dental
Composite Bonding Manchester or Dental Bonding is used to refine and alter the shape of your own natural teeth, without drilling. Composite Bonding is a cosmetic procedure that uses a tooth-coloured resin applied to the tooth to repair chipped teeth or improve the shape of a tooth and restore its original appearance. The resin during the treatment is bonded, polished and shaped to match your own teeth, so you get your own unique perfect smile here in Manchester.
Manchester Dental will make sure your confidant about your smile
Composite bonding is a safe and simple procedure that uses tooth-colored resin to restore the original appearance of chipped or misshapen teeth. It is an affordable option with a quick turnaround time, allowing you to walk out with a beautiful smile on the same day at Manchester Dental.
Steps for a successful Composite Bonding treatment
Firstly, we will need to see you for a free composite bonding appointment to assess if you’re actually suitable for the treatment. The condition of your teeth might not be suitable for Composite Bonding treatment.


Experienced Dentists
Then, our experienced cosmetic dentists will create the exact, precise tooth shape that is necessary.
How is Composite Bonding done?
Our experienced cosmetic dentists will apply the bonding agent, before adding the composite resin, creating the best shape possible for your new smile, then using a special curing light to speed up the bonding process. When the bonding is done, we finish off with a final polish to make sure everything’s even and natural. And you’re all done!

How is Composite Bonding done?
Our experienced cosmetic dentists will apply the bonding agent, before adding the composite resin, creating the best shape possible for your new smile, then using a special curing light to speed up the bonding process. When the bonding is done, we finish off with a final polish to make sure everything’s even and natural. And you’re all done!
-
In most cases, composite is applied with no drilling to the natural tooth. For cases that require tooth adjustment, you will be advised beforehand in the free consultation.
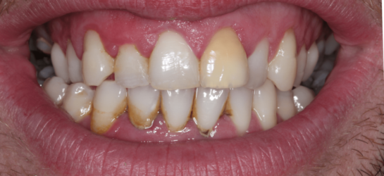
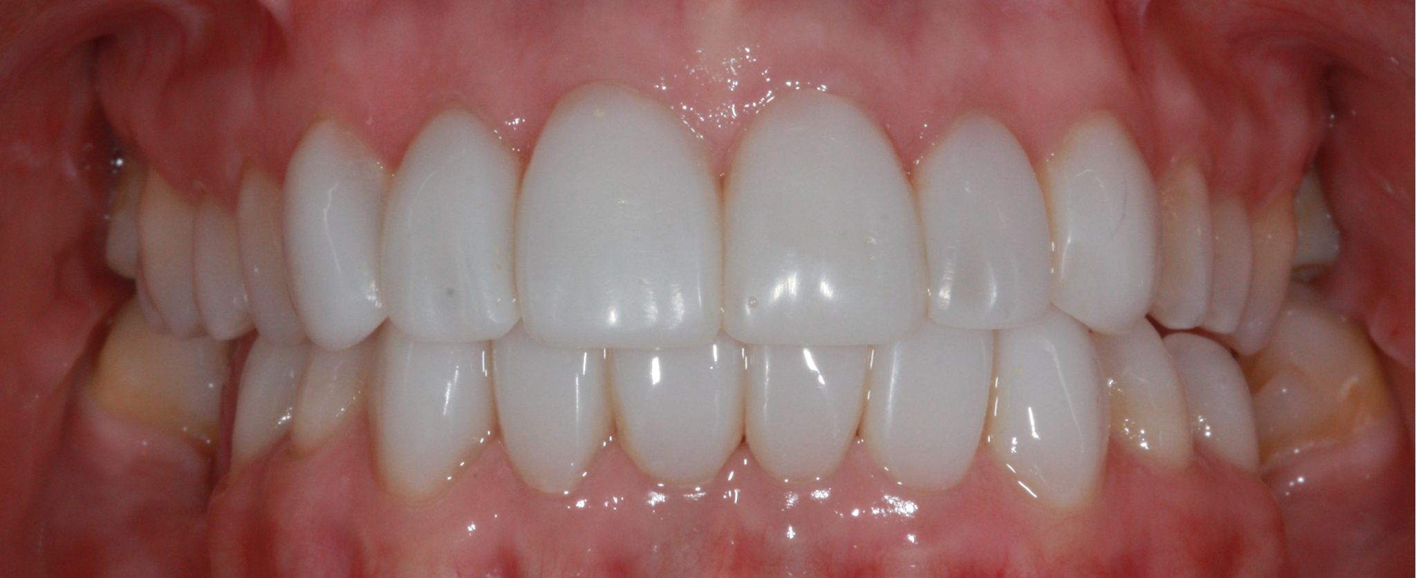
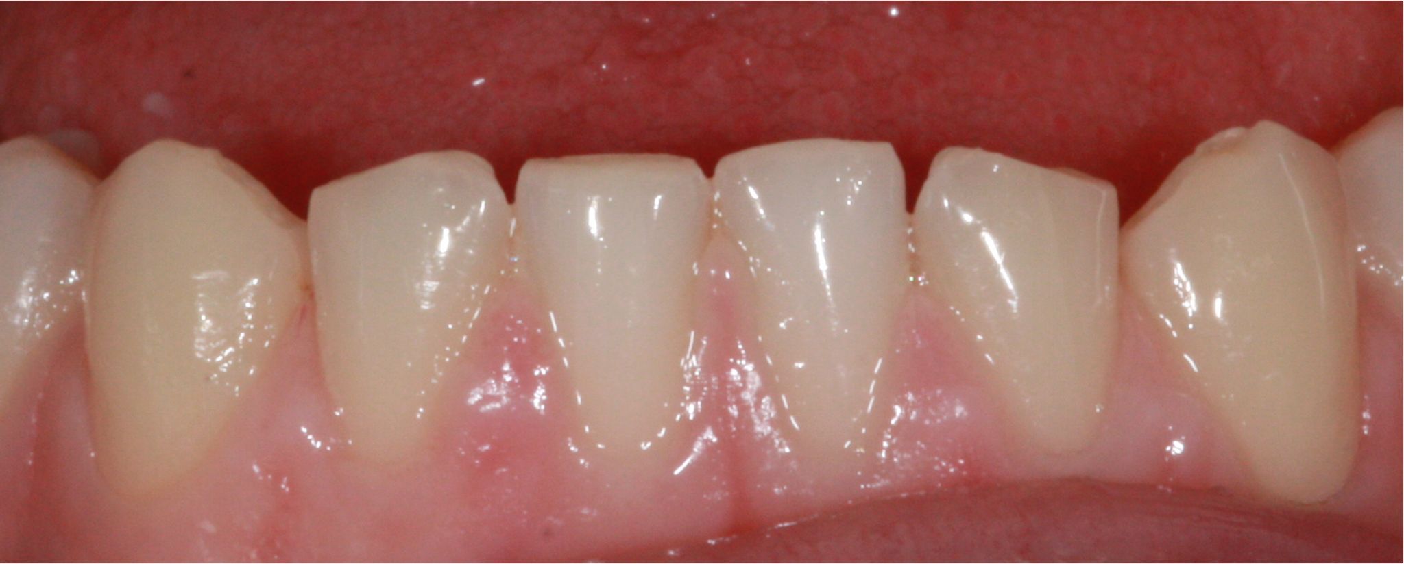
CASE STUDIES OF PATIENTS TREATED AT MANCHESTER DENTAL




